致命尼帕病毒突袭印度!可人际传播,病死率高达75%,日常如何防范?
来源:CHTV百姓健康2026-01-26 18:52:28
据印度媒体报道,印度东部西孟加拉邦近期爆发尼帕病毒疫情,确诊病例已升至5例,感染者正在该邦首府加尔各答及周边医院接受治疗,其中1名患者病情危重,近100人被要求居家隔离。作为一种高致死率人畜共患病毒,尼帕病毒虽人际传播效率较低,但因缺乏特效疫苗和疗法,且传播链条涉及野生动物与家畜,已成为东南亚及南亚地区需持续警惕的公共卫生隐患。
疫情突袭+跨境严防
尼帕病毒近期态势及各国应对
▌印度尼帕病毒疫情或来自医院
印度媒体援引西孟加拉邦卫生官员消息,本次疫情最早确诊的2名医护人员,初步判断大概率从一名出现严重呼吸道症状的患者处感染,该患者在接受尼帕病毒检测前已不幸离世。目前,当地政府已启动多项防控措施,近百人被要求居家隔离;考虑到病毒主要由蝙蝠传染给人类,该邦还部署多个动物园对圈养蝙蝠开展采样检测。
世界卫生组织信息显示,自1998年以来,印度、孟加拉国、马来西亚等多国均报告过尼帕病毒疫情,印度自2001年起更是多次出现局部疫情。仅2025年5月17日至7月12日,印度喀拉拉邦就报告4例感染病例,其中2例死亡。当地时间2023年9月16日,喀拉拉邦一家政府医院的卫生工作者,身着防护装备处理尼帕病毒隔离中心垃圾,体现了当地对疫情防控的规范处置。
▌我国入境监测与防控准备
目前我国尚未报告尼帕病毒感染病例,已将该病毒纳入出入境重点监测体系。现行新修订的《中华人民共和国国境卫生检疫法》,已将尼帕病毒与新冠、艾滋病、寨卡病毒等一同纳入法定检测范围。根据法律规定,海关若判定为染疫人或疑似染疫人,需立即采取有效现场防控措施,同步通知口岸所在地县级以上疾控部门,由疾控部门转运至指定机构实施隔离治疗或医学观察。
▌泰国入境全链条筛查与防控部署
为防范病毒输入,泰国民航局于1月25日发表声明,宣布自1月26日0时起,对来自印度西孟加拉邦的航班实施全面筛查,并将根据疫情形势动态调整防控措施。筛查流程实现全链条管控:航空公司在印度出发地开展初步筛查,对有症状旅客要求提供相关证明文件,同时督促其遵守飞行途中公共卫生指引;旅客抵达泰国后,需接受体温检测并填写健康申报表,机场已在廊桥区域专门设立筛查点。
据悉,印度加尔各答至泰国素万那普、廊曼、普吉三大机场均有直飞航班,目前筛查措施已在这三个机场同步落地。泰国看守总理兼内政部长阿努廷表示,当前泰国无尼帕病毒感染病例报告,公共卫生系统已做好全方位监测准备,同时敦促公众养成良好卫生习惯,如食用热食、勤洗手、使用个人餐具、减少近距离接触等。
泰国机场加强健康监测
曾被误判为乙脑
一场致百人死亡的病毒风波
▌病毒基本概况
尼帕病毒属于副粘病毒科亨尼帕病毒属,为RNA病毒,1998年首次在马来西亚养猪场被发现,随后在马来西亚和新加坡的养猪工人中爆发人传人疫情,自此成为东南亚及南亚地区公共卫生领域的重要威胁。该病毒被世卫组织列为致命人畜共患病毒,主要自然宿主为果蝠,病例病死率高达40%至75%,目前全球尚无特效疗法及疫苗。
值得关注的是,1998年马来西亚首次爆发的尼帕疫情,曾被误判为乙型脑炎(简称“乙脑”)。当时当地养猪区先出现异常:猪只陆续出现呼吸道症状、神经紊乱及快速死亡现象,随后养殖人员也接连出现发热、头痛症状,病情快速进展为严重脑炎。
1998至1999年间,马来西亚和新加坡累计报告超260例人类感染病例,病死率接近40%,且接种乙脑疫苗后疫情未得到任何缓解。最终科研人员从患者脑组织和猪体内,分离出这种此前未被发现的新型病毒,因最早样本取自马来西亚尼帕河一带,故命名为“尼帕病毒”。此次疫情最终造成265人发病、105人死亡,100万头猪被扑杀,也正式揭开了这种跨物种传播病原体的面纱。
▌主要传播途
径尼帕病毒传播途径主要分为动物到人、人到人两类,其中动物源性传播为主要途径:
• 动物到人传播:果蝠作为自然宿主,可通过唾液、尿液或粪便污染水果、水源,人类食用被污染的食物或水源后可能感染;猪等家畜可作为中间宿主,接触感染蝙蝠的排泄物或被污染饲料后会感染,进而将病毒传播给人类。
• 人到人传播:人际传播效率相对较低,仅在密切接触感染者(如照料患者、处理遗体)时可能发生,主要通过飞沫、直接接触患者分泌物或排泄物传播。
▌临床表现
尼帕病毒感染临床表现多样,从无症状感染到致命性脑炎、呼吸道疾病均有可能,潜伏期通常为4至14天,部分病例潜伏期可更长。核心症状包括:
• 发热:多为高热,体温可达39℃以上,是感染初期典型症状;
• 头痛:以剧烈头痛为主要表现,常伴随发热出现;
• 神经系统症状:包括嗜睡、意识障碍、癫痫发作、偏瘫等,严重者可进展为脑炎,最终导致死亡,部分康复者会遗留神经系统后遗症;
• 呼吸道症状:部分患者出现咳嗽、呼吸困难等表现;
• 消化系统症状:少数患者伴随呕吐、腹泻等不适。
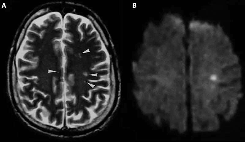
尼帕病毒感染后脑炎的核磁共振图像(图源:参考资料 1)
科学防护不松懈
尼帕病毒核心预防指南
鉴于尼帕病毒高致死率、无特效防治手段的特点,做好预防工作是降低感染风险的关键,具体可从以下几方面入手:
1. 减少蝙蝠接触:避免直接接触果蝠等蝙蝠种类,不食用蝙蝠可能触碰过的水果、水源,从源头防范食源性感染;
2. 加强家畜管理:养猪场等家畜饲养场所需定期消毒,完善防护设施,防止蝙蝠粪便等污染物进入饲料、水源,阻断中间宿主传播链;
3. 强化个人防护:处理可能被病毒污染的物质时,务必佩戴手套、口罩、防护服等防护装备,避免直接接触污染物;密切接触感染者时,需严格遵守防疫规范;
4. 及时就医排查:若出现上述高热、剧烈头痛、意识模糊等症状,需立即前往正规医院就诊,并主动告知医生近期疫区旅居史、野生动物接触史,便于及时诊断和精准管控。
结束语
尼帕病毒的跨物种传播特性及高致死率,决定了其防控需构建“野生动物管控+家畜防疫+人际防护+跨境监测”的多维防线。当前印度西孟加拉邦疫情仍需保持警惕,各国出台的入境筛查、居家隔离等措施,为阻断病毒跨境传播筑牢了重要屏障。对公众而言,了解病毒传播规律、养成良好卫生习惯、保持适度警惕性,既是自我保护的核心,也是参与全球疫情防控的重要举措。未来,随着科研对尼帕病毒认知的不断深入,期待针对性疫苗与疗法早日研发成功,为应对这一公共卫生威胁提供更坚实的保障。
参考文献:
[1] Ang B S P, Lim T C C, Wang L. Nipah virus infection[J]. Journal of Clinical Microbiology, 2018, 56(6): e01875-17. DOI:10.1128/JCM.01875-17.
[2]丁香园《印度暴发疫情,病死率曾一度高达 100%!我国尚无输入病例》
[3]观察者网《印度尼帕疫情死亡率超七成!我国已列入出入境监测目录》
[4]中山大学健康大讲堂《尼帕病毒感染:一场不容忽视的公共卫生挑战》

CHTV 百姓健康微信